Al Alam Medical Center

علاج اللثة وإزالة الجير

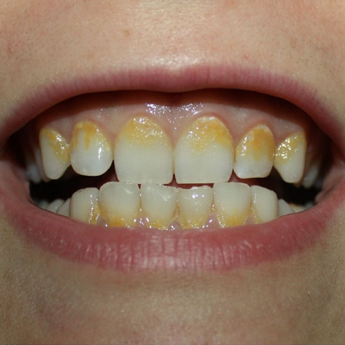
علاج اللثة وإزالة الجير

تراكم الجير والبكتيريا على خط اللثة قد يؤدي إلى التهابات مزمنة، نزيف، ورائحة فم كريهة. في مركزنا، نقدم جلسات تنظيف عميقة باستخدام أجهزة تزيل الجير والتصبغات بلطف، مع علاج التهابات اللثة والتشققات. كما نستخدم تقنيات التلميع والتطهير لتعزيز صحة اللثة. ننصح بزيارة دورية كل 6 أشهر للحفاظ على نظافة الفم ومنع أمراض اللثة.

نتائجنا

color photo black and white