Al Alam Medical Center

طربوش الأسنان (التاج)

طربوش الأسنان (التاج)

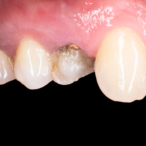
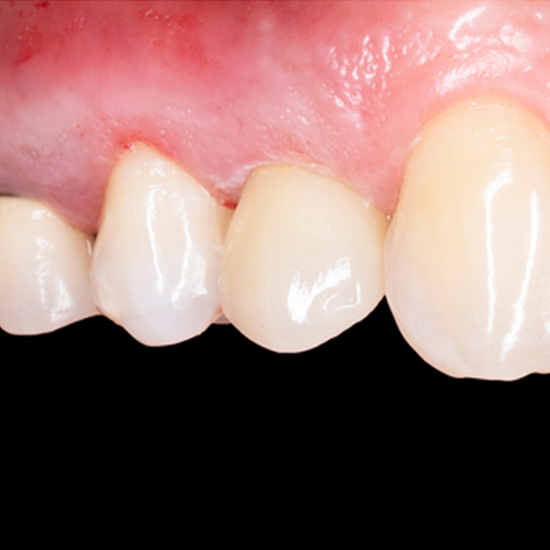
الطربوش أو التاج السني هو غطاء يتم تركيبه فوق السن الضعيف أو المعالج بالعصب، لحمايته واستعادة شكله وقوته. نوفر تيجان مصنوعة من الزيركون، البورسلين أو المعدن، مصممة خصيصًا لتناسب شكل الفم وتنسجم مع لون الأسنان. نحرص على تقديم تركيبات مريحة، متينة، وذات مظهر طبيعي يدوم لسنوات.

نتائجنا

color photo black and white